https://tnv.ru
08 ноября 2024, 16:30
656
0

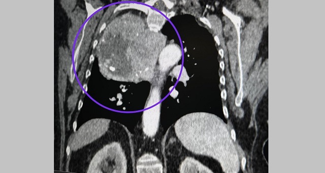
В Казани торакальные хирурги РКБ спасли 75-летнюю пациентку, которую едва не задушила сначала одна опухоль, а затем другая. Историю рассказала пресс-служба медучреждения.
Все началось с того, что в декабре прошлого года пожилая женщина начала задыхаться. Появился непонятный кашель, пищу стало сложно проглатывать, а в груди постоянно что-то болело.
В 2017 году при похожих симптомах выяснилось, что у нее огромная щитовидная железа — она была расположена нестандартно. Врачам пришлось удалить образование, а вместе с ним почти всю щитовидку.

Но в этот раз опухоль выросла из нижнего полюса щитовидной железы и заняла треть грудной клетки. По признанию медиков РКБ, в их практике такое образование встречается впервые.
Операция продлилась три часа. Сейчас пациентка уже дома, чувствует себя хорошо и сердечно благодарит врачей.
Фото: t.me/rkb_tatarstan
Поделиться
Рубрики новостей
Другие новости по теме
«Одна на миллион»: 33-летнюю пациентку с камнем в носу спасли лор-врачи в Татарстане
В Татарстане врачи спасли 49-летнюю женщину от инсульта при помощи новой технологии
Врачи РКБ Татарстана месяц проработали с коллегами в Запорожской области
190 ударов в минуту: в РТ врачи прооперировали пациентов с АВ узловой тахикардией
Комментарии 0