https://tnv.ru
18 октября 2024, 16:00
470
0

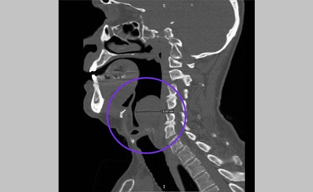
Гигантскую миксому гортани удалили 67-летнему пациенту оториноларингологи Республиканской клинической больницы (РКБ).
Медики отметили, что опухоль из соединительных тканей выросла у татарстанца уже во второй раз. Впервые образование выросло до 3 см в диаметре еще в 2021 году.
В лор-отделении РКБ Татарстана его прооперировали и благополучно вписали. Но весной этого года мужчина снова пошел к врачам — вновь выросшая опухоль мешала ему глотать пищу.

В этот раз медики удалили образование диаметром 8 см. Операция длилась около полутора часа. Дополнительные разрезы не потребовались — все сделали через рот. Сейчас мужчина уже идет на поправку.
По словам врачей, обычно миксомы вырастают в сердце. Подобное образование в горле — редкость. В России было описано всего два подобных случая.

Фото: t.me/rkb_tatarstan
Поделиться
Рубрики новостей
Другие новости по теме
«Спасатель рядом»: как работает проект в Татарстане, и почему волонтеры не всегда успевают
Уникальный случай: в Казани врачи РКБ спасти пациента с раком легких
В Казани врачи РКБ спасли пальцы челнинцу, которые отрезало деталью пресса на предприятии
Врачи РКБ сохранили пациентке возможность материнства, удалив 16 узлов
В Казани врачи РКБ удалили опухоль весом 7 кг пациенту, стремительно терявшему вес
Комментарии 0